"Healthy Teeth, Happy Life."
"Discover a world of dental excellence where precision meets compassion, crafting confident smiles with personalized care. Embrace a journey to optimal oral health, guided by our expert touch. Your radiant smile begins here – where dentistry becomes an art, and your well-being is our masterpiece."
Diagnostic Services
Early detection of issues like cavities, gum disease, and oral cancer.
X-rays and other diagnostic tools to identify dental problems.
Cosmetic Dentistry
Orthodontic treatments for teeth alignment.
Veneers to improve the appearance of teeth.
Teeth whitening for a brighter smile.
Oral Surgery
Tooth extractions when necessary.
Wisdom teeth removal.
Jaw surgery for more complex issues.
Make your Dental Experience alot Brighter
"Cultivating Healthy Smiles, Every Day."

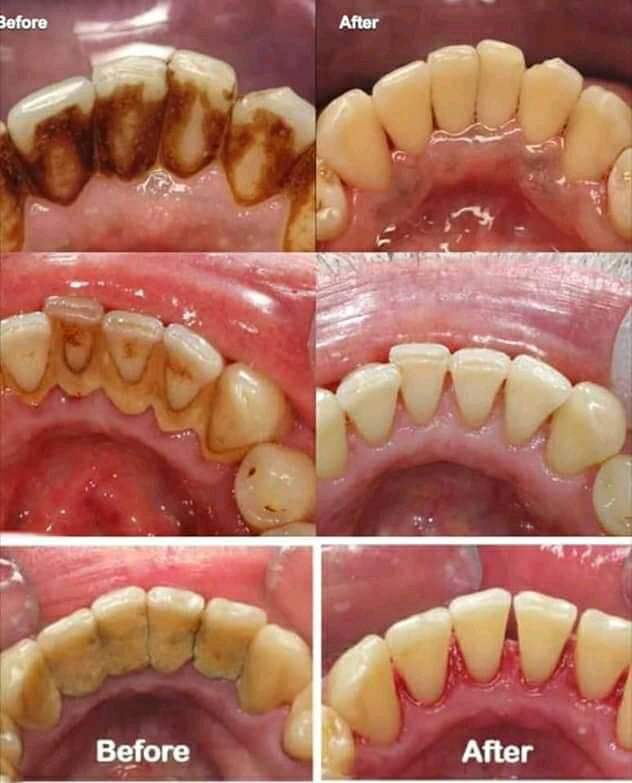
Before and After Scaling
Scaling is often part of a comprehensive oral care plan, and maintaining good oral hygiene practices at home, including regular brushing and flossing, is crucial for preventing the recurrence of plaque and tartar buildup.

Plaque and Tartar Removal
Plaque is a soft, sticky film of bacteria that forms on teeth and can lead to cavities and gum disease and Tartar is hardened plaque that cannot be removed through regular brushing and flossing.

Gum Healing and Reduced Inflammation
The removal of irritants like plaque and tartar allows the gums to heal and Inflammation and redness of the gums usually subside after scaling

Improved Oral Health
Our dental professionals committed to providing comprehensive and personalized oral care tailored to your unique needs.
